Os sintomas mais comuns são dor ao caminhar ou ao se levantar pela manhã, inchaço, instabilidade no tornozelo, deformidades visíveis nos dedos e dificuldade para realizar atividades rotineiras. Ignorar esses sinais pode levar ao agravamento da condição e a um tratamento mais complexo no futuro.
Um diagnóstico preciso, realizado por um especialista, é crucial para o sucesso do tratamento. A avaliação começa com um exame físico detalhado, analisando a marcha e os pontos de dor. Exames de imagem, como radiografias com carga, ultrassom e ressonância magnética, são fundamentais para avaliar as estruturas ósseas e os tecidos moles.
A maioria das condições do pé e tornozelo é tratada com sucesso de forma conservadora. O tratamento pode incluir fisioterapia, uso de palmilhas ortopédicas para corrigir a pisada, medicamentos, infiltrações e orientações sobre calçados adequados, visando sempre o alívio da dor e a correção da causa do problema.
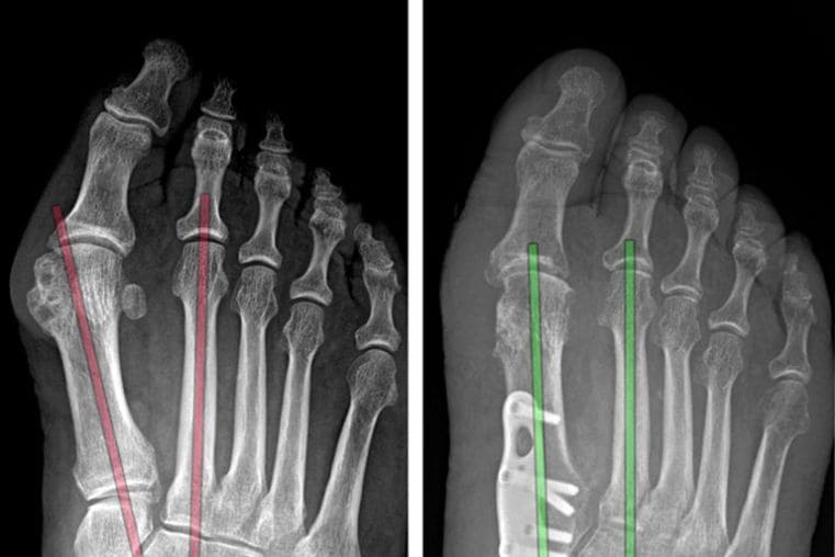
A cirurgia é indicada para casos de deformidades graves, instabilidade crônica ou fraturas complexas que não respondem ao tratamento inicial. Se você sofre com dores no pé ou tornozelo, agende uma avaliação com o Dr. Alessandro Leite para um diagnóstico correto e um plano de cuidado focado em você.